Zubná
protetika.
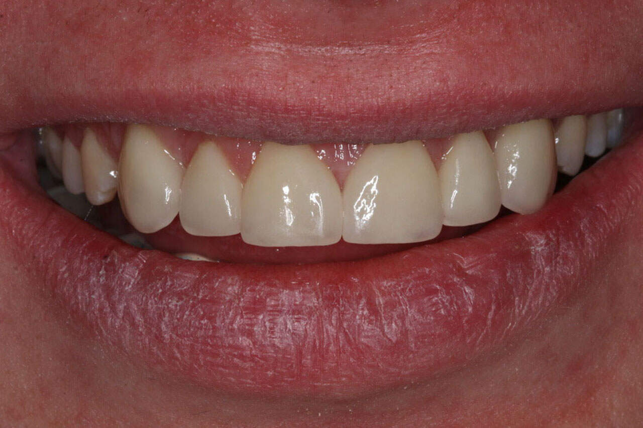
Protetické ošetrenie spočíva v obnovení stratených zubov. Moderné protetické ošetrenie umožňuje obnoviť chýbajúce zuby, ktoré poskytujú pacientovi úplné pohodlie pri použití a nelíšia sa od prírodných zubov. Na My Clinic, ak je to možné, ponúkame pacientom riešenia, ktoré sú trvalo fixované v ústach pacienta. To umožňuje pacientom pohodlne hrýzť, poskytuje slobodu a dôveru pri používaní protetických prác.
Riešenie, ktoré vám umožní dosiahnuť najlepší estetický efekt a ktoré vám umožní získať krásny úsmev, je použitie dýhy, korún a mostov. Každé z týchto riešení je individuálne prispôsobené pacientovi. Práca sa vykonáva s maximálnou starostlivosťou a prihliada sa na individuálne vlastnosti pacienta, ako je tvar alebo farba zubov.
Pri výbere protetického riešenia, ktoré chceme použiť, vždy dodržiavame minimálnu invazívnosť pôsobenia, ktorá nám umožňuje šetriť vlastné zuby pacienta.
Riešenie, ktoré vám umožní dosiahnuť najlepší estetický efekt a ktoré vám umožní získať krásny úsmev, je použitie dýhy, korún a mostov. Každé z týchto riešení je individuálne prispôsobené pacientovi. Práca sa vykonáva s maximálnou starostlivosťou a prihliada sa na individuálne vlastnosti pacienta, ako je tvar alebo farba zubov.
Pri výbere protetického riešenia, ktoré chceme použiť, vždy dodržiavame minimálnu invazívnosť pôsobenia, ktorá nám umožňuje šetriť vlastné zuby pacienta.
Čo je to dyha, koruna a most?
Čelom.
Dyha má hrúbku tenkej mierky 0,3 až 1 mm. Aplikuje sa iba na prednú časť zubu (viditeľnú v úsmeve). Umožňujú vám zmeniť tvar zubov, ich farbu a vyplniť medzery medzi nimi. Príprava zubov na dýhy je najmenej invazívnym postupom v oblasti zubných protetík. Materiál, z ktorého sa dyhy vyrábajú, je zvyčajne keramika, ale stáva sa, že dyhy sú tiež vyrobené z kompozitného materiálu. Dýhy vyrobené z keramiky vyzerajú ako prírodné zuby, nemajú sfarbenie a sú veľmi trvanlivé. Sú pripevnené k zubu špeciálnym cementom, ktorý permanentne spája dyhu s povrchom zubu.
Indikácia použitia dyhy:
Zubná korunka.
Koruna reprodukuje zub v oveľa širšom rozsahu ako dyha. Korunky sa vyrábajú, keď je prírodný zub do značnej miery poškodený a nie je možná rekonštrukcia vo forme kompozitnej výplne (tesnenie). Na My Clinic vyrábame koruny z rôznych materiálov. V závislosti od klinickej situácie môže byť materiálom kov s keramickou vrstvou, zirkónia a keramika samotná. Medzi najestetickejšie koruny patria koruny vyrobené zirkónia a samotná keramika. Pacienti aj lekári uprednostňujú tieto materiály. Zirkón a keramika sú biologicky neutrálne, čo znamená, že ich telo dobre znáša.
Zvyčajne sú potrebné dve návštevy na vytvorenie koruny. Na prvom z nich je zub, na ktorom má byť korunka vyrobená, starostlivo brúsený, čo vám umožňuje aplikovať korunku na ňu neskôr. Vytvorí sa dojem, ktorý sa odošle do laboratória. To je miesto, kde je vyrobený dizajn koruny. Počas tejto doby pacient používa dočasnú korunu, ktorá chráni stĺpik (odrezaný zub) pred poškodením a tiež umožňuje pacientovi fungovať bez komplikácií medzi prvou a druhou návštevou. Po niekoľkých dňoch je hotová korunka vyskúšaná a ak splní očakávania pacienta, pokiaľ ide o tvar a farbu, dočasná korunka sa nahradí konečnou korunou.
Zvyčajne sú potrebné dve návštevy na vytvorenie koruny. Na prvom z nich je zub, na ktorom má byť korunka vyrobená, starostlivo brúsený, čo vám umožňuje aplikovať korunku na ňu neskôr. Vytvorí sa dojem, ktorý sa odošle do laboratória. To je miesto, kde je vyrobený dizajn koruny. Počas tejto doby pacient používa dočasnú korunu, ktorá chráni stĺpik (odrezaný zub) pred poškodením a tiež umožňuje pacientovi fungovať bez komplikácií medzi prvou a druhou návštevou. Po niekoľkých dňoch je hotová korunka vyskúšaná a ak splní očakávania pacienta, pokiaľ ide o tvar a farbu, dočasná korunka sa nahradí konečnou korunou.
Protetický most.
Protetický mostík je riešenie, ktoré vám umožňuje obnoviť chýbajúce zuby. Pri neprítomnosti 1-2 alebo viacerých zubov vedľa seba môžete použiť susedné zuby a zavesiť tie, ktoré chýbajú. Po brúsení susedných zubov sa na ne aplikujú korunky, na ktoré sa tzv rozpätie mosta vo forme korún, umiestnené tesne nad ďasnom. Napodobňujú prírodné zuby a maskujú ich nedostatok.
Ak sa rozhodne urobiť most, pacient musí vykonať tri až štyri návštevy. Na prvom z nich sú zuby, na ktorých bude most založený, starostlivo brúsené, urobí sa dojem a vytvorí sa dočasná korunka na ochranu zubov medzi návštevami. Pri druhej návšteve – už oveľa kratšej – skontrolujeme, či dizajn budúceho mosta dokonale zapadá do stĺpikov (brúsené zuby).
Pri ďalšej návšteve, po konečnom dokončení v protetickom laboratóriu, je most fixovaný v ústach pacienta.
Ak sa rozhodne urobiť most, pacient musí vykonať tri až štyri návštevy. Na prvom z nich sú zuby, na ktorých bude most založený, starostlivo brúsené, urobí sa dojem a vytvorí sa dočasná korunka na ochranu zubov medzi návštevami. Pri druhej návšteve – už oveľa kratšej – skontrolujeme, či dizajn budúceho mosta dokonale zapadá do stĺpikov (brúsené zuby).
Pri ďalšej návšteve, po konečnom dokončení v protetickom laboratóriu, je most fixovaný v ústach pacienta.
Dýhy, ako aj korunky a mosty poskytujú pacientom veľké pohodlie a sebavedomie pri žuvaní jedla, rozprávaní alebo usmievaní.
Pozrite si naše ďalšie služby:
Urobte si
stretnutie
v My Clinic
Zavolajte a opýtajte sa na dostupné stretnutia.
