Metamorfozy.
Pragniemy przedstawić Państwu metamorfozy uśmiechów, które zostały wykonane w My Clinic. W początkowej fazie leczenia fotografujemy stan uzębienia by móc go porównać po jego zakończeniu. Efekty jakie uzyskujemy są możliwe dzięki odpowiedniemu planowi leczenia, wykorzystaniu najlepszych materiały stomatologicznych oraz doświadczeniu kadry specjalistów, którzy troszczą się o uśmiechy naszych Pacjentów.


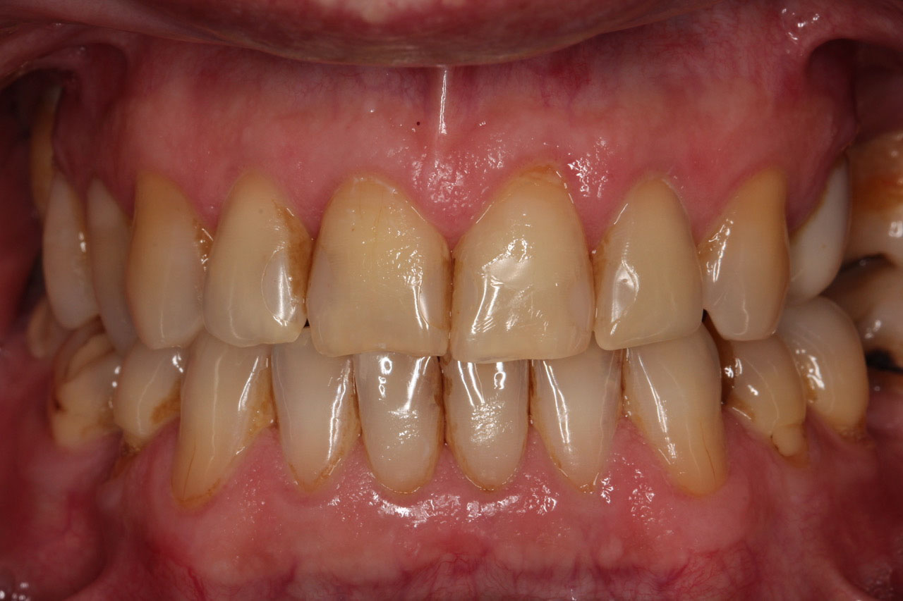
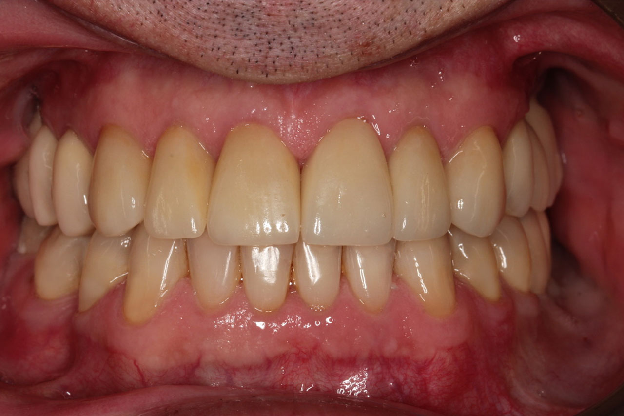
1. Korony pełnoceramiczne, nakładolicówki kompozytowe,
korony na implantach
korony na implantach


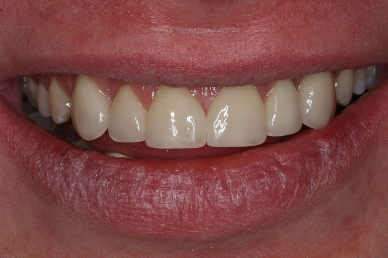
2. Licówki z indywidualną charakteryzacją (naturalnie wyglądające osady),
korony na implantach
korony na implantach


3. Licówki w celu zamknięcia szpar między zębami


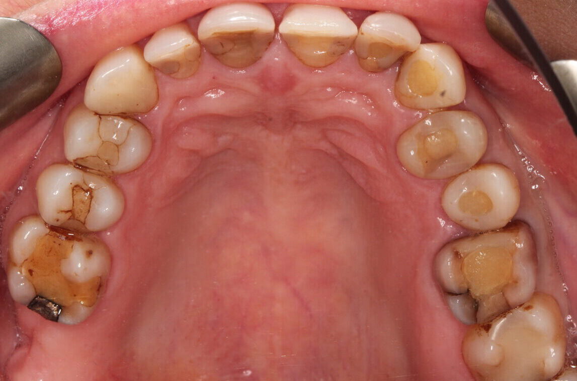
4. Nakłady (plomby) kompozytowe w zębach bocznych
wykonane w laboratorium
wykonane w laboratorium
Umów się na wizytę
w My Clinic
Zadzwoń i zapytaj o wolne terminy wizyt.